Hai perso un dente? Non ignorare il problema
La mancanza di uno o più denti non è solo un problema estetico. Difficoltà a masticare, dolore, perdita di sicurezza nel sorriso: queste sono solo alcune delle conseguenze che possono peggiorare con il tempo.
Inoltre, uno spazio vuoto nella tua bocca può portare a problemi più gravi, come il riassorbimento osseo o lo spostamento dei denti vicini.
Ma non preoccuparti: grazie all’implantologia dentale, possiamo offrirti una soluzione stabile, sicura e duratura per ripristinare non solo il tuo sorriso, ma anche la tua qualità di vita.
L’implantologia: la soluzione che ti restituisce serenità
Gli impianti dentali rappresentano una soluzione stabile e naturale per i denti mancanti. Grazie a un piccolo perno in titanio che si integra perfettamente con l’osso, potrai dire addio alle limitazioni e tornare a vivere in piena libertà.
Gli impianti sono pensati per essere una soluzione a lungo termine: con una corretta igiene orale e le giuste attenzioni, possono durare moltissimi anni. E non dimentichiamo la comodità: dimentica fastidi e insicurezze legati a protesi mobili o spazi vuoti.
Come funziona il trattamento implantologico
La procedura di implantologia è semplice e sicura, e si svolge in pochi step:
- Valutazione iniziale: analizziamo la tua situazione dentale e ossea per pianificare un trattamento personalizzato.
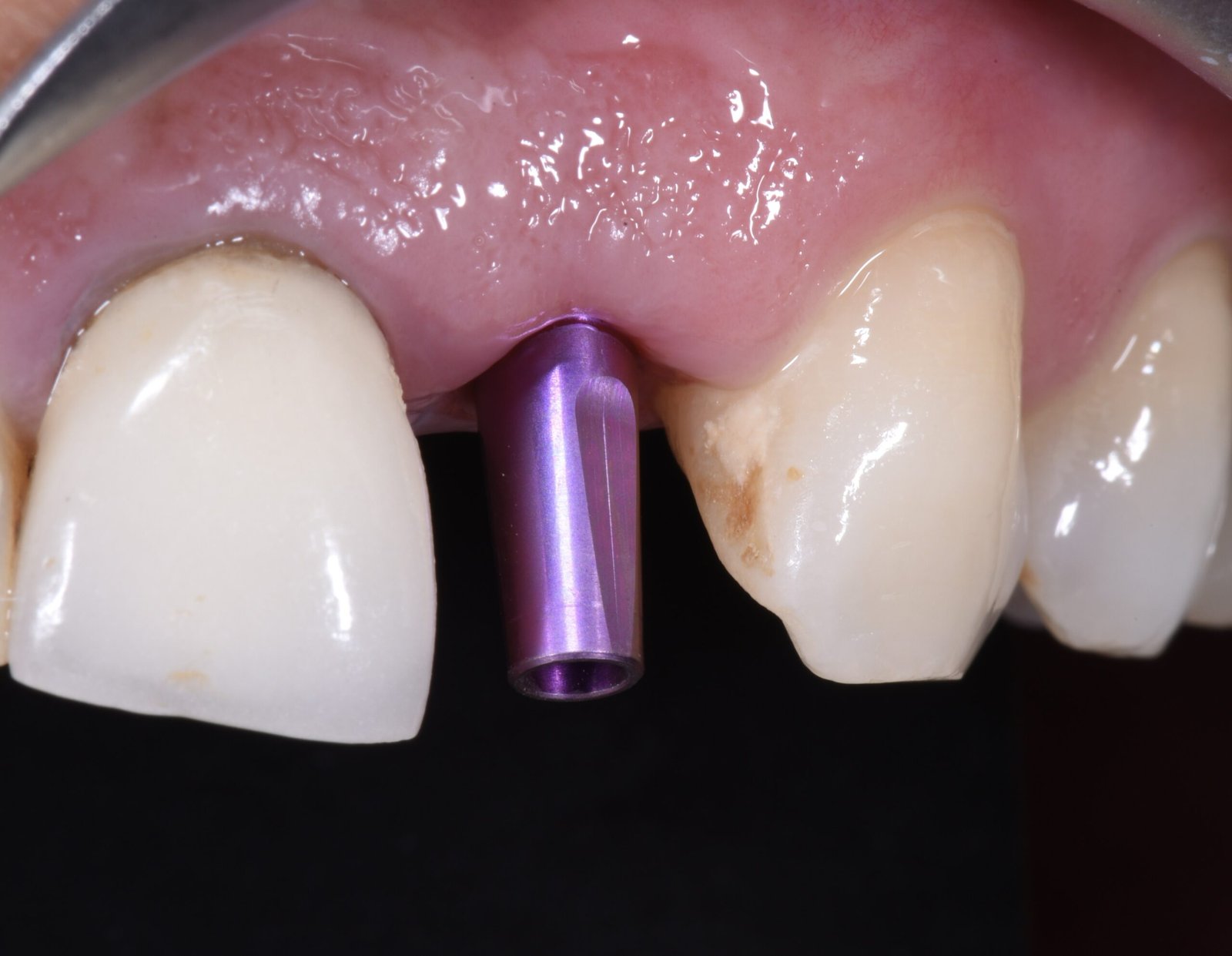
- Inserimento dell’impianto: un perno in titanio viene posizionato nell’osso, dove si integrerà naturalmente (osteointegrazione).
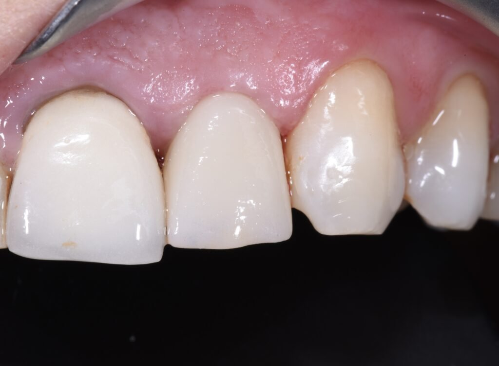
- Applicazione della corona: una volta stabilizzato l’impianto, viene fissata una corona personalizzata, per un risultato estetico e funzionale impeccabile.
Grazie alle tecniche moderne, il processo è indolore e i tempi di recupero sono rapidi. In molti casi, è possibile avere il dente definitivo in poche settimane.
La nostra tecnologia al servizio del tuo sorriso
Utilizziamo solo i migliori materiali e tecniche avanzate per garantire risultati eccellenti:
- Perni in titanio di alta qualità: sicuri, biocompatibili e progettati per durare nel tempo.
- Tecnologia digitale: scanner intraorali e radiografie 3D ci permettono di pianificare con precisione ogni dettaglio del trattamento.
Grazie a queste innovazioni, possiamo offrirti un’esperienza confortevole e un risultato che supera le aspettative.
Un sorriso stabile e sicuro è a portata di mano
Affidati a oltre 32 anni di esperienza, tecnologie all’avanguardia e un team dedicato al tuo benessere dentale. Prenota oggi la tua visita per scoprire come possiamo aiutarti a ritrovare il sorriso che meriti
