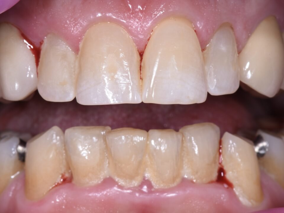
Sogni denti senza tartaro?
Il tartaro e la placca non sono solo un problema estetico: possono causare carie, gengiviti e parodontite. Noti che i tuoi denti sembrano sempre opachi o le tue gengive sanguinano spesso? Potresti aver bisogno di una pulizia dentale professionale.
Non sopporti il fastidio della detartrasi tradizionale? Sappiamo che il pensiero della detartrasi tradizionale può scoraggiare per il fastidio che spesso comporta.
La soluzione? Pulizia dentale con tecnica GBT
La tecnica GBT è un metodo innovativo e delicato che garantisce una pulizia profonda senza dolore. Rispetta la sensibilità delle gengive e offre risultati immediatamente visibili, prevenendo problemi futuri.
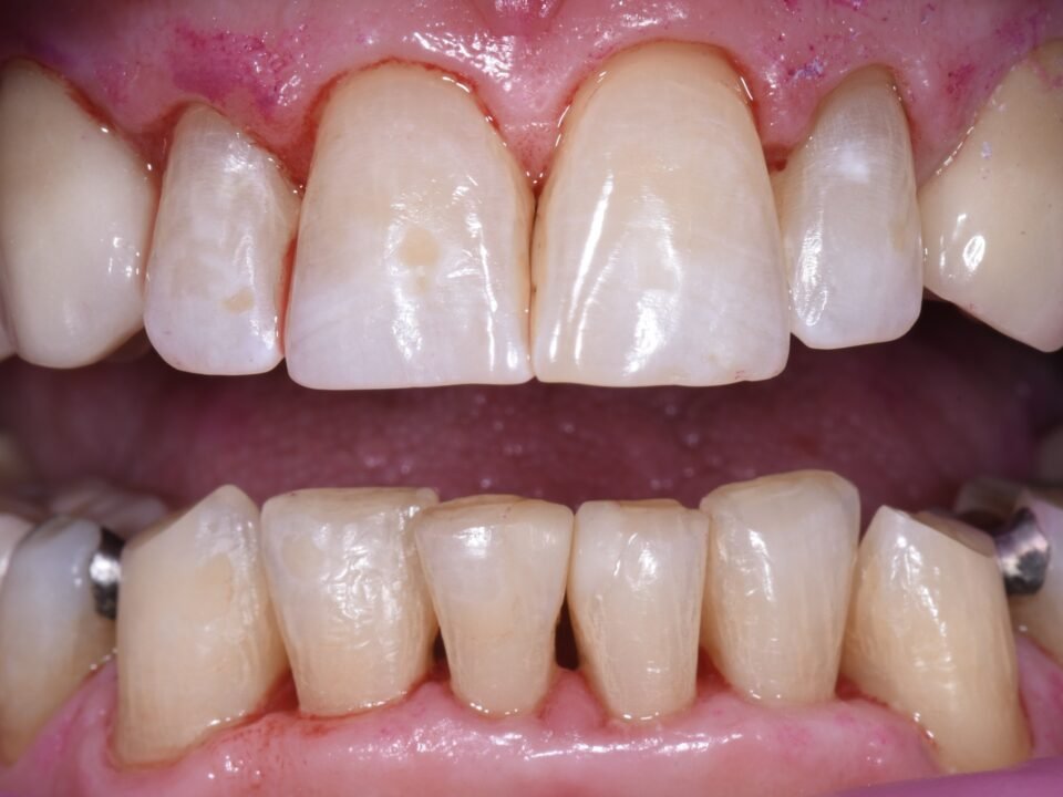
Come funziona la pulizia dentale con tecnica GBT?
- Individuazione della placca e del biofilm: utilizziamo un liquido rivelatore che evidenzia le aree da trattare.
- Rimozione delicata: un flusso di acqua e polvere sotto pressione eliminiamo biofilm e macchie senza alcun fastidio.
- Finitura e protezione: completiamo la pulizia con strumenti di precisione che eliminano il tartaro sopragengivale e sottogengivale che lasciano i denti sani e puliti
Con GBT, i tuoi denti non saranno solo più puliti, ma anche più sani. Prenota ora la tua seduta e scopri la differenza.
La tecnologia GBT
Adottiamo la tecnica GBT – Guided Biofilm Therapy, un metodo innovativo che prepara i denti allo sbiancamento rimuovendo delicatamente placca e impurità.
I vantaggi della GBT?
- Ideale per gengive sensibili.
- Uniforma e ottimizza un eventuale sbiancamento post GBT.
- Risultati visibili fin da subito e duraturi in totale sicurezza.
Grazie alla GBT, il tuo sorriso non è solo più bianco, ma anche più sano.
Vuoi sbiancare i tuoi denti? Prenota ora la tua detartrasi!
Affidati a oltre 32 anni di esperienza, tecnologie all’avanguardia e un team dedicato al tuo benessere dentale. Prenota oggi la tua visita per scoprire come possiamo aiutarti a ritrovare il sorriso che meriti
