Hai dolore o fastidio ai denti del giudizio?
I denti del giudizio possono causare dolore, infiammazione e problemi di allineamento se non hanno spazio sufficiente per erompere correttamente. Un’estrazione tempestiva previene complicazioni e protegge la salute della tua bocca.
Quando è necessaria l’estrazione?
- Dolore e infiammazione gengivale
- Mancanza di spazio e disallineamento dentale
- Infezioni ricorrenti e cisti
- Difficoltà nella masticazione
Se avverti uno di questi sintomi, è importante intervenire per evitare problemi futuri.
La soluzione è l'estrazione dei denti del giudizio!
Grazie alle moderne tecnologie odontoiatriche, l’estrazione dei denti del giudizio è una procedura rapida, sicura e con un recupero veloce.
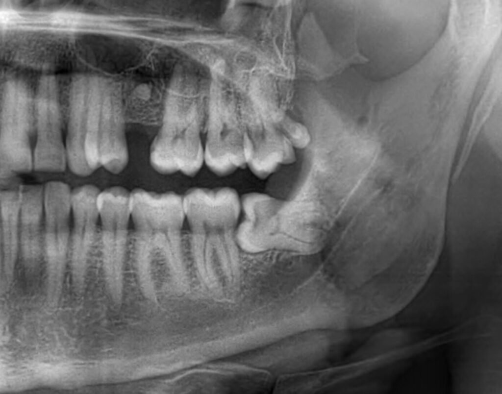
Come funziona l'estrazione?
- Valutazione specialistica con radiografie digitali 3D per analizzare la posizione del dente.
- Anestesia locale avanzata per un’esperienza senza dolore.
- Estrazione minimamente invasiva, riducendo trauma e gonfiore post-operatorio.
- Assistenza post-operatoria personalizzata per una guarigione rapida e senza complicazioni.
La tecnologia usata per l'estrazione
Utilizziamo strumenti di ultima generazione come motori piezoelettrici e laser odontoiatrici per un’estrazione più precisa e meno traumatica. Questo riduce il gonfiore e accelera il processo di guarigione, offrendo il massimo comfort ai pazienti.

Prenditi cura dei tuoi denti nel migliore dei modi!
Affidati a oltre 32 anni di esperienza, tecnologie all’avanguardia e un team dedicato al tuo benessere dentale. Prenota oggi la tua visita per scoprire come possiamo aiutarti a ritrovare il sorriso che meriti
