Hai perso uno o più denti e cerchi una soluzione stabile e naturale?
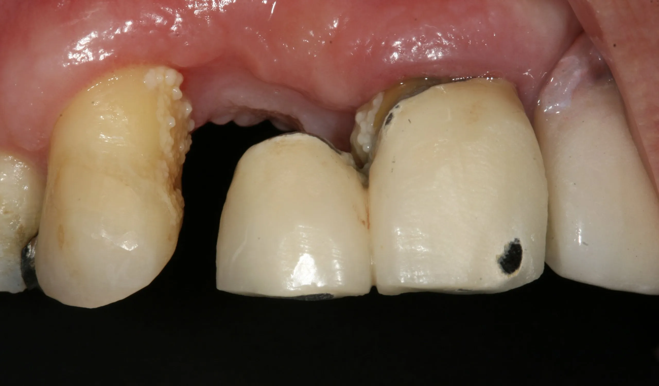
La perdita di denti può compromettere la funzionalità della masticazione, l’estetica del sorriso e persino la salute dell’intera bocca. Che si tratti di un solo dente o di un’intera arcata, le protesi fisse e mobili rappresentano una soluzione efficace per ripristinare l’armonia del tuo sorriso.
I problemi causati dalla mancanza di denti
- Difficoltà nella masticazione e nella digestione
- Alterazione dell’estetica del viso
- Perdita di autostima e difficoltà nel parlare
- Riassorbimento osseo e spostamento dei denti adiacenti
Se ti riconosci in una di queste situazioni, non preoccuparti: abbiamo la soluzione su misura per te!
La soluzione? Protesi dentali su misura!
Le protesi dentali sono dispositivi personalizzati progettati per sostituire i denti mancanti e migliorare la qualità della vita. Esistono due principali tipologie:
Protesi fissa: stabilità e naturalezza
- Corone dentali: coprono un dente danneggiato, restituendogli forza ed estetica.
- Ponti dentali: sostituiscono uno o più denti mancanti, ancorandosi ai denti naturali adiacenti.
- Protesi su impianti: soluzioni di ultima generazione che offrono stabilità e funzionalità simili ai denti naturali.
Protesi mobile: praticità e adattabilità
- Protesi totali: indicate per chi ha perso tutti i denti di un’arcata.
- Protesi parziali: perfette per chi ha ancora alcuni denti naturali.
- Overdenture su impianti: una combinazione tra protesi mobile e impianti per una maggiore stabilità.
Come funziona il trattamento?
Il trattamento inizia con una valutazione specialistica per determinare la soluzione migliore. Successivamente, viene eseguita una scansione digitale e un’impronta per realizzare una protesi su misura. Si passa poi alla fase di prova e adattamento, fondamentale per garantire il massimo comfort. Infine, la protesi viene applicata e sottoposta a un controllo finale per assicurare un risultato perfetto.
La tecnologia
L’uso di scanner intraorali digitali permette di realizzare protesi su misura con massima precisione. Materiali come zirconia e ceramica garantiscono resistenza ed estetica naturale. Inoltre, le tecnologie CAD/CAM assicurano un’ottima adattabilità e tempi di realizzazione ridotti.
Prenota una consulenza personalizzata!
Affidati a oltre 32 anni di esperienza, tecnologie all’avanguardia e un team dedicato al tuo benessere dentale. Prenota oggi la tua visita per scoprire come possiamo aiutarti a ritrovare il sorriso che meriti
