I tuoi denti ti fanno sentire a disagio?
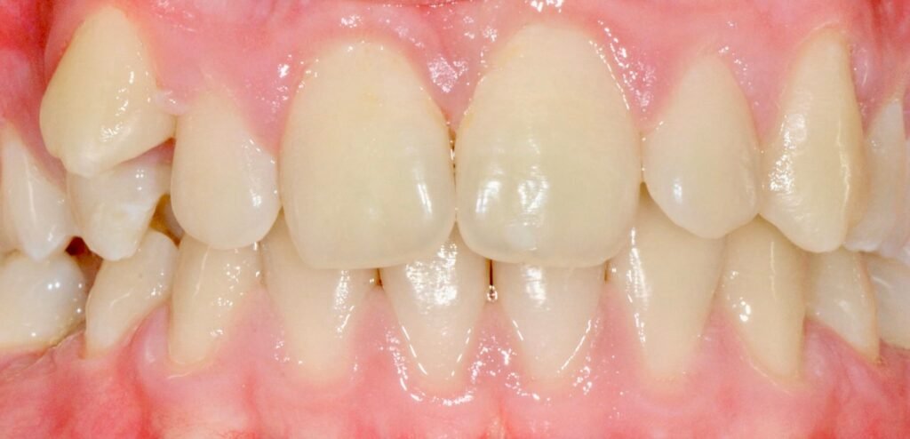
Denti disallineati, affollati o con spazi troppo evidenti possono influire non solo sul tuo sorriso, ma anche sulla tua sicurezza in te stesso. Ti trattieni dal ridere o sorridere nelle foto? Hai difficoltà a pulire correttamente i tuoi denti perché sono troppo affollati?
Non sottovalutare questi problemi. Un allineamento scorretto può compromettere la salute della tua bocca, portando a carie, gengiviti o difficoltà masticatorie.
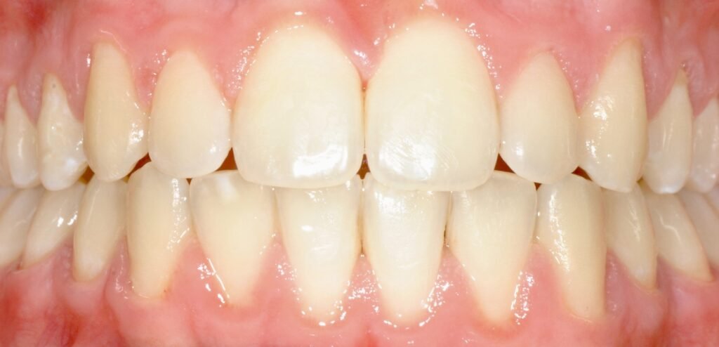
Con le nostre soluzioni ortodontiche – dagli allineatori trasparenti agli apparecchi tradizionali – puoi ottenere un sorriso perfetto, migliorare la salute orale e sentirti finalmente a tuo agio con te stesso.
Perché scegliere un trattamento ortodontico?
Allineare i denti non è solo una questione estetica: è un investimento per la tua salute e il tuo benessere. E, naturalmente, tornerai a sfoggiare un sorriso armonioso e sicuro, che farà la differenza nella tua vita sociale e professionale.
Due opzioni, un unico obiettivo: il tuo sorriso perfetto
Ogni paziente ha esigenze diverse, e per questo offriamo due soluzioni ortodontiche principali:
- Allineatori trasparenti
Questi dispositivi quasi invisibili ti permettono di raddrizzare i denti senza compromettere l’estetica durante il trattamento. Sono comodi, rimovibili e perfetti per chi desidera discrezione. - Apparecchi tradizionali
Una soluzione consolidata ed efficace per correggere anche le malocclusioni più complesse. Grazie ai materiali moderni, gli apparecchi tradizionali sono oggi più confortevoli e discreti rispetto al passato.
Ti aiuteremo a scegliere l’opzione più adatta alle tue necessità, tenendo conto delle tue preferenze e dei risultati desiderati.
Come funziona il percorso ortodontico?
Il nostro approccio è pensato per essere chiaro, sicuro e personalizzato:
- Prima visita e piano di trattamento: valuteremo il tuo caso con strumenti digitali avanzati, come scanner 3D, per mostrarti in anteprima il risultato finale.
- Applicazione del dispositivo: che sia un allineatore trasparente o un apparecchio tradizionale, ti guideremo passo dopo passo per garantirti comfort e risultati.
- Monitoraggio continuo: controlli regolari per verificare i progressi e fare eventuali aggiustamenti, assicurandoci che il tuo sorriso prenda forma proprio come desideri.
Scegli oggi il sorriso che desideri
Affidati a oltre 32 anni di esperienza, tecnologie all’avanguardia e un team dedicato al tuo benessere dentale. Prenota oggi la tua visita per scoprire come possiamo aiutarti a ritrovare il sorriso che meriti
