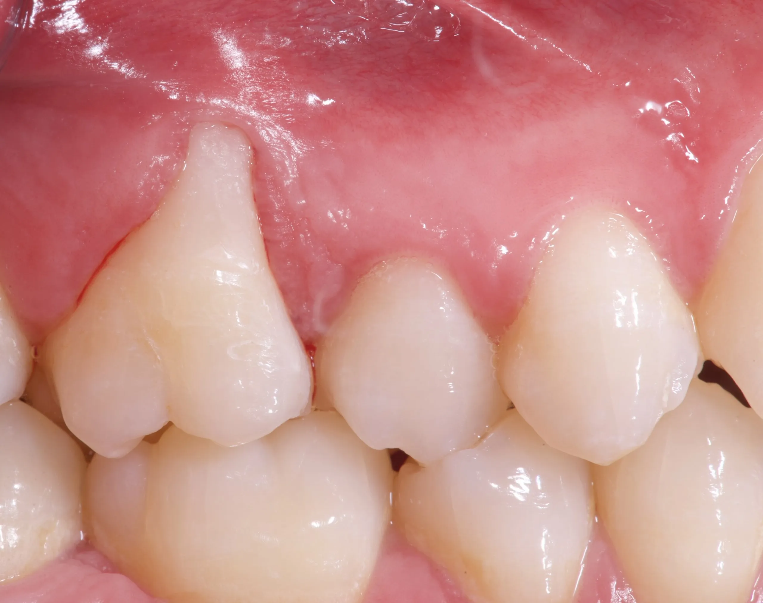
Soffri di recessione gengivale?
Se le tue gengive si stanno ritirando, potresti avvertire sensibilità ai denti, esposizione delle radici e un impatto negativo sull’estetica del tuo sorriso. La recessione gengivale può essere causata da spazzolamento aggressivo, malattia parodontale o predisposizione genetica.
Le conseguenze della recessione gengivale
- Maggiore sensibilità ai cibi caldi e freddi
- Espansione visibile delle radici dentali
- Rischio aumentato di carie e infezioni
- Compromissione dell’estetica del sorriso
Se riconosci questi segnali, non aspettare! Gli innesti di gengiva rappresentano una soluzione efficace per proteggere i tuoi denti e ripristinare la salute gengivale.
Innesti gengivali per rigenerare i tessuti
Grazie alle moderne tecniche di chirurgia parodontale, è possibile recuperare la salute delle gengive con interventi minimamente invasivi. L’innesto gengivale è una procedura sicura che ripristina il tessuto perso e protegge i denti dalla sensibilità e dalle infezioni.
Tipologie di innesti gengivali
- Innesto connettivale: prelevato dal palato del paziente, è ideale per coprire le radici esposte e ispessire il tessuto gengivale.
- Innesto libero: Prelevato dal palato del paziente è utile per aumentare la quantità di gengiva cheratinizzata intorno ai denti o agli impianti per salvaguardarne la salute nel lungo periodo.
- Innesto con materiali biocompatibili: alternativa per chi desidera un intervento meno invasivo, con ottimi risultati rigenerativi.
Come avviene il trattamento?
Il trattamento inizia con una valutazione specialistica, durante la quale vengono effettuati esami dettagliati per individuare l’area da trattare. Successivamente, si procede alla preparazione della zona, assicurandosi che sia pronta per ricevere l’innesto. L’innesto viene quindi posizionato con tecniche avanzate, garantendo la massima stabilità e integrazione. Infine, nella fase di guarigione, il tessuto si integra naturalmente con le gengive, permettendo un recupero efficace e duraturo.
Tecnologie innovative per un intervento sicuro
Il nostro studio utilizza laser odontoiatrici e microscopi operatori per garantire una chirurgia gengivale minimamente invasiva e altamente precisa. Inoltre, l’impiego di biomateriali di ultima generazione accelera il processo di guarigione, riducendo al minimo il disagio post-operatorio.
Prenditi cura dei tuoi denti nel migliore dei modi!
Affidati a oltre 32 anni di esperienza, tecnologie all’avanguardia e un team dedicato al tuo benessere dentale. Prenota oggi la tua visita per scoprire come possiamo aiutarti a ritrovare il sorriso che meriti
