Vuoi un sorriso più bianco e armonioso?
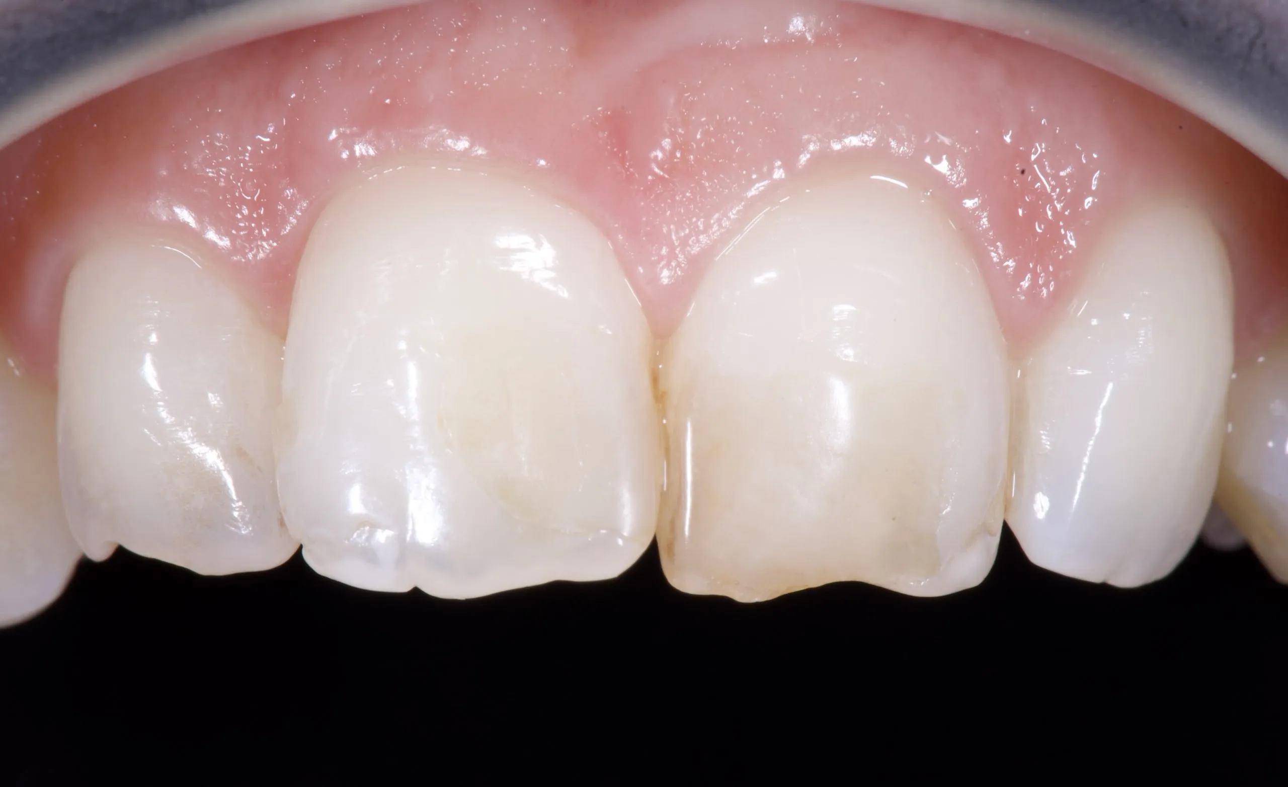
Denti disallineati, macchiati o consumati possono compromettere l’estetica del sorriso e la fiducia in se stessi. Se desideri denti dall’aspetto naturale e impeccabile, le faccette estetiche rappresentano la soluzione ideale.
I problemi estetici che le faccette possono risolvere
- Denti macchiati o ingialliti
- Leggere irregolarità e disallineamenti
- Spazi tra i denti (diastemi)
- Denti consumati o scheggiati
Se uno di questi problemi ti riguarda, le faccette estetiche possono regalarti il sorriso che hai sempre desiderato!
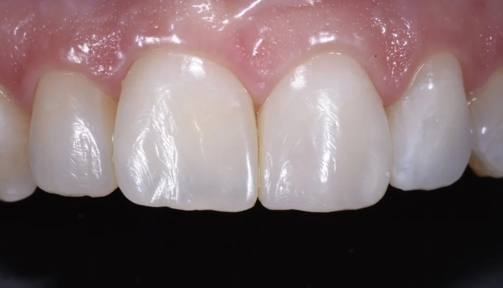
La soluzione? Faccette dentali su misura per te!
Le faccette sono sottili rivestimenti in ceramica o composito, applicati sulla superficie esterna dei denti per migliorarne l’estetica in modo duraturo e naturale.
Quali sono i tipi di faccette?
- Faccette in ceramica: ultra resistenti, garantiscono un aspetto naturale e una lunga durata nel tempo.
- Faccette in composito: applicabili in un’unica seduta, rappresentano un’opzione più economica con ottimi risultati estetici.
Come funziona?
- Valutazione specialistica con analisi del sorriso.
- Preparazione del dente con una minima rimozione dello smalto.
- Impronta digitale per una progettazione su misura.
- Applicazione delle faccette con adesivi di ultima generazione.
- Controllo finale e rifinitura per un risultato impeccabile.
La tecnologia usata per le faccette estetiche
Grazie a scanner digitali 3D di ultima generazione e software di progettazione avanzati, realizziamo faccette dentali su misura con precisione millimetrica. L’impiego di ceramiche ultra-sottili e adesivi di nuova tecnologia garantisce un’adesione perfetta e un risultato estetico impeccabile.
Prenditi cura dei tuoi denti nel migliore dei modi!
Affidati a oltre 32 anni di esperienza, tecnologie all’avanguardia e un team dedicato al tuo benessere dentale. Prenota oggi la tua visita per scoprire come possiamo aiutarti a ritrovare il sorriso che meriti
